07 Jul Orthodontics in Dogs
Wait, what!? Braces in dogs!? Is this a real thing?? Before you get overly excited that we may be able to place braces on your pet’s teeth to provide that million-dollar smile, let’s discuss what veterinary orthodontics is and what it isn’t.
Orthodontic Therapy In Veterinary Medicine
Orthodontics, a field of dentistry that deals with treating malocclusion, maxillofacial defects, and the correction of dental abnormalities, can be performed in dogs and even rarely in cats. However, the American Veterinary Dental College (AVDC) has established a position statement regarding when it is appropriate to consider orthodontic movement in pets. The position taken on this matter is the following: “The goal of orthodontic procedures in companion animals is to provide pets with a healthy and functional occlusion. The AVDC supports the AVMA policy regarding surgery or procedures performed on show animals.”
Simply put, the AVDC, and its members, believe that veterinary orthodontic procedures should be limited to patients with teeth that are causing pain or oral trauma due to their abnormal location or alignment. Instances strictly allowing for cosmetic improvement, especially in the instance of breeding and/or show animals, should not utilize orthodontic movement. Both Dr. Greenfield and Dr. Briggs believe this statement to be true as well.
What is an Abnormal Occlusion or Malocclusion?
Many pets are born with an abnormal occlusion or bite, meaning their teeth do not align perfectly. Malocclusions are defined as an abnormal relationship between the teeth, jaws, and/or the TMJ. Any deviation from the normal relationship is considered a malocclusion.
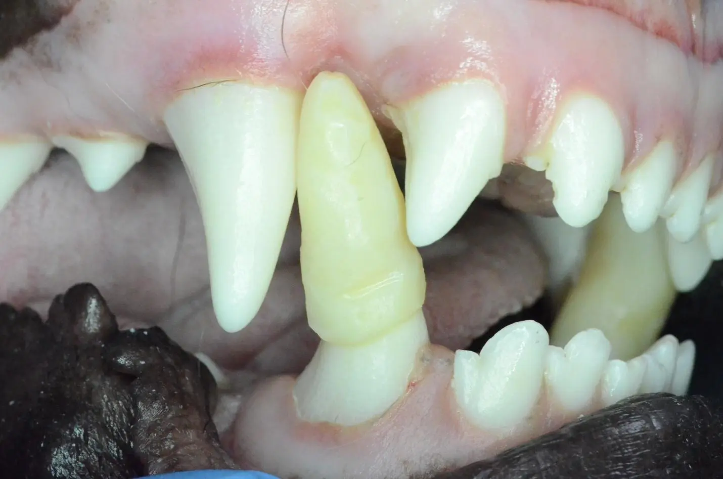
In a dog or cat with a normal occlusion/bite, the lower (mandibular) canines sit between the upper (maxillary) canines and 3rd incisors, as seen below. Additionally, the premolars and molars (teeth along the cheeks) should also align properly. Last, but not least, symmetry of the face and jaws is also an extremely important component of a normal occlusion.
A normal occlusion can be visualized in the below photographs. A pet’s occlusion should be evaluated from the front of the mouth as well as both sides.

Normal occlusion – maxilla (upper jaw) sits slightly in front of the mandible (lower jaw)

Interdigitation of the lateral or 3rd incisors, mandibular canine, and maxillary canine from the side view.
In some pets, we now consider these abnormal occlusions to be routine, and are expected in certain breeds of dogs and cats. One group of dogs that likely comes to mind for you right away is the brachycephalic dogs or those with “smushed faces.” Some of our favorite and most common breeds fall into this category, including Bulldogs, French bulldogs, Shih Tzus, and Boxers. Cats, such as Persians, can also be classified as brachycephalic.
With these breeds, we consider their malocclusion to be consistent with their breed, so we would not consider orthodontic movement for these otherwise “normal” bites. Some dogs, however, are born with upper jaws (maxilla) that are too long or with lower canine (fang) teeth that are too narrow within their jaws. These malocclusions often lead to painful and traumatic lesions on the roof of the mouth. This is one of the most common reasons we perform orthodontic movement in dogs and cats.
Orthodontic Therapy
Orthodontic correction of malocclusion is a minimally invasive option with the goal of moving the teeth into a normal, or at least non-traumatic, position. Veterinary orthodontic therapy not only alleviates the pain and discomfort of the abnormal bite, but it also maintains the integrity of the tooth and jaw. This becomes especially important when we consider those teeth that are highly functional, like the canine (fang) teeth.
Orthodontic movements can be broken down into different categories: interceptive or corrective.
Interceptive veterinary orthodontics involves addressing primary (puppy/kitten) teeth that may be causing pain or trauma and contributing to the malocclusion within their oral cavities. Especially in the case of where puppy teeth have not fallen out in a timely manner (which is especially common in small breed dogs) interceptive orthodontics can provide the body the ability to potentially correct the malocclusion in many minor situations.
Corrective veterinary orthodontics addresses adult teeth and can be classified as passive or active. Active orthodontic movement results in a continuous force on the tooth/teeth being moved. Passive orthodontics creates an intermittent force on the desired teeth.
Ball therapy is a form of passive orthodontic movement that some people may have previously heard of or seen videos describing. This method utilizes silicone balls to help expand the distance between lower canines with minor malocclusions. A board-certified dentist in Canada, Dr. Fraiser Hale, has wonderful videos and informative pamphlets on the details of ball therapy (see the image below from his detailed informational post.)
Please remember, any attempt to perform this method at home should be first discussed with the team at Your Pet Dentist or your regular veterinarian.

(Image source: Fraiser Hale, DVM, FAVD, DAVDC http://www.toothvet.ca/ )
Example of a properly fitted ball for attempting ball therapy. Note how the ball can apply pressure
between the canines but is not small enough to move to the back of the mouth and become a
choking hazard.

Images of a telescopic inclined plane in a 7-month-old Standard Poodle. This is an example of a passive orthodontic appliance. Pressure is only to the base-narrow (linguoverted) mandibular canines when the mouth is closed/closing.
Veterinary Orthodontics at Work
Drs Briggs and Greenfield have had the opportunity to see and address many malocclusions over the years. One that stands out most recently was a young puppy named “Tater.” He had a minor (Class 1) malocclusion affecting his lower (mandibular) canines. These teeth were erupting slightly more narrowly than those of his upper jaw, causing trauma to the above gums (gingiva).
Tater’s owners had previously attempted ball therapy for his narrow canines after consulting with their primary care veterinarian. This intervention did help to some degree, but the malocclusion was still present. Fortunately, this malocclusion was minor enough to allow for a passive orthodontic intervention to be successfully implemented. Dr. Briggs was able to utilize acrylic crown extensions to passively tip his lower canines into a more ideal location! This is just one example of successful orthodontics in veterinary medicine.

Pre-therapy occlusion (left side) with the lower canine puncturing the upper jaw

Pre-therapy occlusion image – minor contact between the canine and the above gingiva

Image post crown extension fabrication on the left mandibular canine and sloping of the above gingiva

Crown extension application on the right mandibular canine

Image after passive orthodontic intervention and removal of crown extension. Note the much more ideal location of this canine and the lack of trauma to the upper jaw.
Some may ask, why not just extract the abnormal teeth? Sometimes that may be the only option. However, when we consider those highly functional and structural teeth, such as the canine (fang) teeth, being able to maintain these teeth can be extremely important.
These teeth function as their hands. Can one live without a hand and still have a great quality of life? Of course! But, having both hands certainly makes life easier. The same is to be said for our 4-legged family members. This becomes even more important if these pets have jobs that require fully functional teeth and/or mouths.
Veterinary Orthodontic Therapy in Nashville, TN
Malocclusions are rather common in our pets. Potential orthodontic movement and intervention can be a wonderful tool our dentists have excellent knowledge of and experience with. If you are concerned in any way about your pet’s bite/occlusion, do not hesitate to reach out to the team at Your Pet Dentist or your primary veterinarian. Every dog and cat deserves to be able to eat and drink pain-free!
Angela Briggs, DVM, DAVDC – Your Pet Dentist of Nashville
Sources:
The American Veterinary Dental College – AVDC.org
Canine Pediatric Dentistry – VCNA 2014. Amy J. Fulton, DVMa,b , Nadine Fiani, BVScc , Frank J.M. Verstraete, DrMedVet, MMedVetd
Assessment of Temporary Crown Extensions to Correct Linguoverted Mandibular Canine Teeth in 72 Client-Owned Dogs. Storli, S. Menzies, R. Reiter, A. Journal of Veterinary Dentistry. 2018.
Wiggs
Fraser Hale, DVM, FAVD, DAVDC – Ball therapy – http://www.toothvet.ca/PDFfiles/ball_therapy.pdf
Prevalence of Malocclusion of Deciduous Dentition in Dogs. Hoyer, N. Rawlinson, Journal of Veterinary Dentistry. 2019
Images used under creative commons license – commercial use (7/7/2023). Photo by Krystian Bęben on Unsplash